Bratislava

EliDent s.r.o.
Bratislava

O zubnej ambulancií
NIE IBA FILOZOFIA, ALE NÁŠ CIEĽ od roku 2012. Sme zubná ambulancia,ktorá vznikla s cieľom poskytovania nadštandardných služieb v oblasti zubného lekárstva,využitím najnovších poznatkov,dentálnych materiálov a vybavenia. Individuálny prístup,bezstresová atmosféra ,bezbolestné ošetrenie a komunikácia s pacientom je samozrejmou súčasťou. U nás je aj detský pacient vítaný. Našim cieľom je ošetrovať pacientov tak,ako by sme si želali byť ošetrení my.
Ponúkané služby
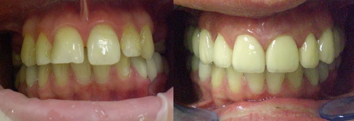
Bielenie zubov
Ambulantné a domáce bielenie pre žiarivý úsmev.
Dentálna hygiena
Profesionálne čistenie, pieskovanie, leštenie zubov a prevencia.
Recenzie pacientov
Vyšetrenie na objednávku bez čakania. Príjemný prístup k pacientovi. Výborná technická vybavenosť ambulancie (röentgen, kamera - prehliadka pred a po zákroku). Dentálna hygiena a konzultácie.
Prístup k pacientovi, dôkladnosť, technické vybavenie, časový manažment... Všetko super a sympatická pani zubárka a sestrička.
Zobraziť viac recenzií (+2)
Fotografie
Exteriér













