Nitra

Sexy Smile – bielenie zubov bez peroxidu
Nitra

O zubnej ambulancií
Bezperoxidové bielenie zubov Sexy Smile
Ponúkané služby
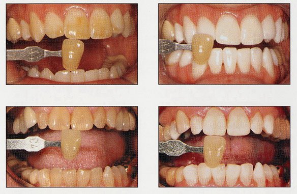
Bielenie zubov
Ambulantné a domáce bielenie pre žiarivý úsmev.
Dentálna hygiena
Profesionálne čistenie, pieskovanie, leštenie zubov a prevencia.
Fotografie

Exteriér









